
ایمپلنت دندان
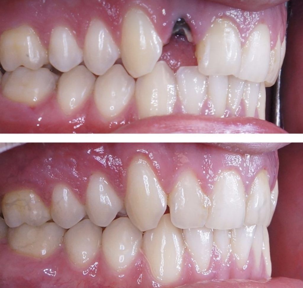
از دست دادن دندان به دلایلی از جمله پوسیدگی شدید، بیماریهای لثه یا تصادف رخ میدهد و در صورت عدم درمان، میتواند منجر به تحلیل استخوان فک و تغییر فرم صورت شود. روشهایی مانند بریج، دندان مصنوعی و ایمپلنت برای جایگزینی دندانهای از دست رفته وجود دارند که هر کدام مزیتها و محدودیتهای خود را دارند اما ایمپلنت دندان به دلایل ماندگاری بالاتر، حفظ سلامت استخوان فک و ظاهری طبیعیتر به نسبت سایر روشها گزینهی بهتری محسوب میشود.
پیش از تصمیمگیری در خصوص جایگزین دندان از دست رفته خود بهتر است بدانید ایمپلنت دندان چیست، چگونه انجام می شود، با مراحل انجام آن، مزیتها و معایب آن نیز بیشتر آشنا شوید و در انتها روشهای جایگزین دندانهای از دست رفته را مقایسه خواهیم کرد که تصمیم درستتری برای انتخاب خود داشته باشید. پس تا انتهای این صفحه با ما همراه باشید و یا جهت دریافت مشاوره از پزشک متخصص بمنظور انتخاب بهترین گزینه برای شما، همین حالا با ما تماس بگیرید.
ایمپلنت دندان چیست؟
ایمپلنت چیست؟ و یا در پاسخ به سوال ایمپلنت یعنی چی باید بگوییم که ایمپلنت دندان یا به اصطلاح افراد دندان پیچی یک پیچ تیتانیومی است که داخل استخوان فک قرار داده میشود و مانند ریشۀ دندان عمل میکند. این پیچ با جراحی به استخوان فک پیوند میخورد و بهدنبال آن روکشی بهعنوان تاج روی ایمپلنت قرار میگیرد.
چرا به ایمپلنت دندان نیاز داریم ؟
ایمپلنت دندان بهترین گزینه برای جایگزینی دندان از دست رفته است که توسط جراح متخصص توصیه میشود. این روش به دلیل دوام بالا و جلوگیری از تحلیل استخوان، نسبت به سایر درمانها مانند بریج یا دندان مصنوعی متحرک برتری دارد. هرچند هزینه ایمپلنت بیشتر است، اما به دلیل ماندگاری و مزایای طولانیمدت، سرمایهگذاری منطقی و ارزشمندی محسوب میشود.
بریج دندان نیاز به تراش دندانهای مجاور دارد و دندان مصنوعی متحرک اغلب باعث تحلیل استخوان و لثه میشود که در نهایت منجر به شکست درمان میگردد. در مقابل، ایمپلنت دندان با حداقل آسیب به دندانهای کناری، بهترین و قطعیترین راهکار برای جایگزینی دندانهای از دست رفته است.
ایمپلنت در شرایط مختلفی توسط پزشک متخصص و جراح به بیمار توصیه میشود، از جمله:
• هنگامی که دندانی را از دست داده باشیم
• هنگامی که پوسیدگی دندان وسیع و زیر لثه باشد و احتمال بازسازی تاج با ترمیم و یا روکش وجود نداشته باشد.
• زمانی که ریشه ی دندان دچار التهاب و عفونتهای تکرار شونده شده باشد که با درمان ریشه توسط متخصص درمان ریشه برطرف نشده باشد.
• هنگامی که استخوان و لثه دندان تحلیل رفته باشد و نگهداری دندان به دلیل شرایط استخوانی امکان پذیر نباشد. البته توجه داشته باشید در این مورد برای کاشت ایمپلنت هم ابتدا باید بازسازیهای استخوانی انجام شود، تراکم استخوان ایجاد شود و بعد از آن پایهی ایمپلنت داخل استخوان قرار گیرد.
• در مواردی که شکستگیهای عمودی در تاج یا ریشه دندان رخ داده باشد و یک یا چند دیواره دندان بیمار از دست رفته باشد.
• در مواردی که روکش های قدیمی دندان افتاده و امکان چسباندن مجدد یا قالب گیری مجدد روکش به دلیل پوسیدگی دندان زیری وجود ندارد و شرایط لثه هم تایید کننده برای روکش جدید نیست.
• هنگامی که دندان سالم به دلیل شرایط ملتهب لثه لق شده باشد و با جراحی پیوند لثه نیز علائم برطرف نشده باشد.
در چنین مواردی، پس از کشیدن دندان، پایه ایمپلنت قرار داده شده و در نهایت روکش ایمپلنت تحویل بیمار میشود تا عملکرد و زیبایی دندان بازیابی گردد.
بهترین سن انجام ایمپلنت دندان چه سنی است ؟
ایمپلنت برای جایگذاری دندان از دست رفته قطعی ترین درمان محسوب میشود. افراد بالای 18 سال میتوانند نواحی بی دندان خود را با ایمپلنت دندانی پر کنند.
• افراد زیر 18 سال : ایمپلنت برای کودکان و برای افراد زیر 18 سال به این دلیل که رشد فک و استخوان ها همچنان باقیست، توصیه نمی شود.
• افراد مسن : برای افراد مسن نیز که یک یا چند دندان و یا همه دندان های خود را از دست دادهاند، امکان کاشت ایمپلنت وجود دارد و برای انجام آن منعی به لحاظ شرایط سنی نیست.
• چه عواملی در روند درمان تاثیرگذار است ؟ متخصص پروتزهای دندانی بسته به تعداد و نواحی بی دندان فرد، تصمیم میگیرد که به ازای هر دندان از دست رفته یک واحد ایمپلنت مستقل بگذارد و یا اینکه برای نواحی بی دندانی وسیع از تعداد محدودی پایه ایمپلنت استفاده کند و روکش های دندان ها را بهم متصل کند. لذا شرایط سنی در انجام ایمپلنت تاثیر گذار نیست تنها چیزی که تاثیر مستقیم در روند و طرح درمان بیمار دارد، وضعیت سلامت فیزیکی فرد، شرایط استخوان فک، میزان تحلیلهای استخوانی و نیازهای بازسازی استخوانی فرد میباشد که بنا بر آنها ، متخصص پروتز دندانی و ایمپلنت نوع درمان فرد را مشخص میکند.
ایمپلنت دندان چقدر طول می کشد ؟
کل فرآیند عمل ایمپلنت دندان معمولاً دو الی سه ماه زمان میبرد. زمان دقیق این فرآیند به مولفههای مختلفی مانند: تعداد نواحی بی دندانی، شرایط استخوان، شرایط لثه، میزان تراکم استخوان، شرایط جسمی و فیزیکی بیمار، شرایط مالی بیمار، بهداشت دهان و دندان بیمار، و نوع ایمپلنت و جراحی های تکمیلی آن بستگی دارد. در صورتی که تصمیم به انجام ایمپلنت دندان را دارید، بهتر است با متخصصان دندانپزشکی ما مشورت کنید تا بهترین روش درمان را برای شما انتخاب کنند.
مراحل ایمپلنت دندان چگونه است؟
مرحله اول: مشاوره و معاینه پیش از ایمپلنت دندان
در این مرحله، پس از بررسی دهان و دندان بیمار توسط دندانپزشک متخصص، با توجه به شرایط بیمار بهترین روش درمان پیشنهاد میگردد.
مرحله دوم: جراحی کاشت ایمپلنت و قرار دادن پایه تیتانیومی
در این مرحله، دندانپزشک یک پایه فلزی را در استخوان فک بیمار قرار میدهد. این پایه معمولاً از جنس تیتانیوم است که با استخوان فک پیوند میخورد
مرحله سوم: قالبگیری و ساخت روکش دندان
پس از گذشت حدود دو ماه از کاشت ایمپلنت، زمانی که پایه ایمپلنت با استخوان فک پیوند خورد، متخصص جراح، با بررسی شرایط لثه و استخوان، اعلام میکند که ناحیه جراحی شده آماده قالبگیری روکش ایمپلنت هست یا خیر، در صورت تایید جراح، ادامه کار توسط دندانپزشک یا متخصص پروتز انجام میشود. پروتزیست در این مرحله قالبی از دهان بیمار میگیرد و قالبگیری روکش ایمپلنت را شروع میکند. از روز قالبگیری تا روز تحویل روکش ایمپلنت حدود چهار الی شش هفته زمان لازم دارد تا کار را به لابراتوار تخصصی ارسال کند و فرایند ساخت قالب و روکش در لابراتوار انجام شود و طی چند مرحله مجدد روکش در دهان شما تست شود و اصلاحات لازم روی آن انجام شود.
مرحله چهارم: قرار دادن روکش دندان
در این مرحله، پروتزیست روکش دندان ایمپلنت شده را روی پایه ایمپلنت قرار میدهد.روکش ایمپلنت با چسب به روی ایمپلنت چسبانده میشود.در مراحل اولیه این چسب ها موقت خواهد بود تا اگر در آینده دور یا نزدیک ،ایمپلنت یا لثه اطراف آن علائم احتمالی مانند تورم و التهاب و عفونت را بروز داد،امکان برداشتن روکش، برای بررسی موضوع و درمان های ذیربط وجود داشته باشد .
جراحی ایمپلنت دندان چگونه انجام میشود؟
جراحی ایمپلنت را میتوان بسته به شرایط بالینی خاص شما، بهصورت یکمرحلهای یا در دو مرحله انجام داد.
جراحی یک مرحلهای ایمپلنت دندان
در عمل ایمپلنت یکمرحلهای، ایمپلنت دندان در داخل استخوان گذاشته میشود و پس از آن پیچی به نام healing روی ایمپلنت قرار میگیرد که خارج از استخوان و روی لثه است و به همین دلیل قابل مشاهده است. این پیچ پس از یک دورۀ ۲ماهه که ایمپلنت به استخوان پیوند خورد و به اصطلاح فکجوش شد، از روی ایمپلنت باز میشود و با قطعهای دائمی به نام «abutment» جایگزین میشود که به شکل یک پست داخل ایمپلنت میرود و نقش ارتباطی بین ایمپلنت شما و روکشی که بعداً طی قالبگیری روی آن قرار میگیرد، ایفا میکند.
جراحی ایمپلنت دندان دومرحلهای
در جراحی ایمپلنت دومرحلهای، تقریباً ۲ ماه بعد از جراحی و قراردادن ایمپلنت، جراح از طریق برشی کوچک روی لثه پیج healing را میبندد و دوباره حدود ۲ هفته تا یک ماه صبر میکند تا لثهها کاملاً شکل بگیرند و بعد از آن بیمار را برای قالبگیری و ساخت روکش به متخصص پروتز تحویل میدهد.
این مسئله را که جراحی ایمپلنت شما در دو مرحله انجام شود یا تکمرحلهای باشد، متخصص جراح شما بسته به شرایط استخوان و لثه در ناحیۀ بیدندانی، تعیین میکند

ایمپلنت ها چه فرقی با هم دارند ؟
جنس تمامی ایمپلنت دندان ها در همه جای دنیا تیتانیوم است. دلیل آن هم سازگاری این عنصر با بافت سلولهای بدن است. اما اختلاف در نوع ایمپلنتهایی که هر پزشک توصیه میکند و اختلاف در هزینههای آنها، به شرکتهای تولیدکنندۀ آن ایمپلنت بستگی دارد. در دندانپزشکی هم مانند سایر علوم پزشکی اصول تئوریک ثابت است، ولی تکنیکها و متریالها هر روز دستخوش تغییراتی میشوند که دندانپزشک را بهسوی روشهایی برای درمانهای ایدئال سوق میدهد. اگر بخواهیم قیاسی عامیانه انجام دهیم، شرایط تولیدکنندۀ ایمپلنت مانند تولیدکنندگان خودرو هستند. یعنی نوع جنس تولیدی آنهاست که با هم فرق میکند. مثل فرقی که بین تولید Hyundai و BMW است. هر دو از کمپانیهای مطرح و بهنام هستند؛ ولی از لحاظ کیفیت قطعات با هم فرق میکنند. در ایمپلنت ها هم همین قانون صدق میکند. اجناس ضعیف و اجناس قوی با قیمتهای متفاوتی در بازار موجود است.
هر روز ایمپلنتهای جدیدی وارد بازار میشوند که ممکن است از لحاظ ساختاری ایده آل باشند، اما سالها طول میکشد تا جواب خود را پس دهند.
شرکتهای بزرگ و بهنامی از کشورهای مختلف در تولید ایمپلنت فعالیت دارند که بسته به نوع کیفیت و خدمات پشتیبانی، به بزرگترین شرکتهای تهیه و توزیع ایمپلنت تبدیل شدهاند. زیرا در طی زمان متخصصان و استادان آنها را برای جراحیهای خود مورد استفاده قرار دادهاند و نتایج حاصل از آنرا به مرور زمان کنکاش و مورد بررسی قرار دادهاند و بر طبق اصول ایده آل پزشکی، شاهد قدرت آنها در پیوند و ماندگاری آنها در درازمدت بودهاند.
شایان ذکر است که درصورت شکست و پسزدن پیوند، ایمپلنت توسط متخصص جراح خارج میشود و به شرکت ارسال میگردد تا در شرایط بهتری، ایمپلنت مجدد برای بیمار گذاشته شود. گرچه که ضرروت استفاده از ایمپلنت برای بسیاری از مردم واضح است و ایمپلنت بهترین جایگزین برای دندان از دست رفته به شمار میرود ولی همچنان به لحاظ اقتصادی عدهای از بیماران روکشهای بههم متصلشده و بریجها را ترجیح میدهند.
متخصصان دندانپزشکی سرو در عین بهرهگیری از دانش جامع و روشهای نوین جراحی، مشغول کسب اطلاعات بهروز از برترین برندها و کمپانیهای تولید ایمپلنت و اطمینان از کیفیت آنها هستند و میتوانند راهنماییهای لازم را برای انتخاب ایمپلنتی که با شرایط استخوان و لثۀ شما سازگاری داشته باشد، ارائه بدهند.
مزایای ایمپلنت دندان چیست؟
• افزایش زیبایی
با توجه به این که جای خالی دندان ها می تواند ظاهری نامناسب را به وجود آورد استفاده از ایمپلنت دندان می تواند زیبایی از دست رفته را برای شما جبران کرده و اعتماد به نفس را به شما بازگرداند.
• سرعت بالا در کاشت
ایمپلنت دندان یکی از سریع ترین روش ها برای جایگزینی دندان های از دست رفته است و اگر مشکل کلی در سلامت جسمانی و استخوان های فک وجود نداشته باشد به سرعت می توان آن ها را جایگزین دندان های از دست رفته کرد.
• طول عمر بالا
یکی از مزایا ایمپلنت دندان که آن را بین بیماران و پزشکان به روشی محبوب تبدیل کرده است طول عمر بالای آن است. طول عمر ایمپلنت ها در حدی است که اگر بهداشت دهان و دندان را به درستی رعایت کنید تا آخر عمر می تواند کارایی لازم را برای شما داشته باشد بدون این که دردسری برای شما به وجود آورد.
• حفظ سلامتی دهان و دندان
• ثابت بودن ایمپلنت
مزایای ایمپلنت دندان
کاشت ایمپلنت دندان بهتر است یا روکش و بریج؟
ایمپلنتهای دندانی چند مزیت مهم در مقایسه با روکشهای بههم متصلشده و بریجها دارند.
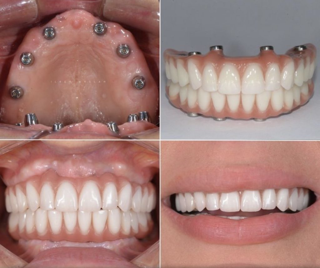
• فیکسچر درون استخوان کاشته میشود و بهجای ریشۀ دندان عمل میکند و فضای ریشۀ ازدسترفتۀ داخل استخوان را پر میکند. تاج یا روکشی که روی آن قرار میگیرد نیز فضای خالی روی لثه را پوشش میدهد. ایمپلنت ها همانند دندانهای طبیعی عمل میکنند و هیچ مشکلی در خوردن غذا توسط آنها یا تمیزکردن این نوع دندانها وجود ندارد. لازم نیست دندانهای مجاور آنها تراش بخورد و زیر روکش برود؛ زیرا ایمپلنت بهصورت مستقل نقش دندان را ایفا میکند. وجود ایمپلنت، ساختار استخوان زیر دندان جایگزین را حفظ میکند؛ زیرا نیروهای جویدن از طریق ایمپلنت به استخوان منتقل میشوند و روند طبیعی بازسازی استخوان را تحریک و حفظ میکنند.
اگر سالهاست که از دندان متحرک استفاده میکنید و از مشکلات شلشدن پلاک یا نداشتن گیر و ثبات در پلاک خود رنج میبرید، میتوان با قراردادن سه یا چهار واحد ایمپلنت در کل یک فک، پلاک ثابت تحویل داد (درمان اوردنچر). در این حالت هم از تحلیل استخوان آنها و هم مشکلاتی مانند شلشدگی پلاک یا زخمهای ناشی از استفادۀ مکرر پلاک متحرک جلوگیری میشود.

هزینه ایمپلنت دندان
هزینه ایمپلنت دندان و جراحی ایمپلنت دندان بسته به عوامل مختلفی مانند نوع برند ایمپلنت، تعداد ایمپلنتهای مورد نیاز، دستمزد دندانپزشک و هزینههای جانبی مانند آزمایش و عکسبرداری متفاوت است.
سوالات متداول ایمپلنت دندان
آیا ایمپلنت درد دارد ؟
فرآیند ایمپلنت دندان مانند کشیدن دندان است، درد و التهاب و نقاهت سنگینی ندارد. بطور کلی روند درمان و میزان درد بسته به آستانه تحمل هر فرد متفاوت است . ایمپلنت نیز مانند هر درمان و جراحی دیگری ، ممکن است همراه با درد و التهاب باشد ولی میزان درد کم و کنترل شده است . بنابراین اگر جراحی های وسیع بازسازی استخوان لازم نداشته باشید معمولا پس از ایمپلنت میتوانید به همه امور روزمره خود و حتی جلسات کاری خود برسید . در حین درمان ایمپلنت بیمار دردی را متوجه نمیشود چون کامل بی حس است. پس از درمان ممکن است درد داشته باشد که آن هم با دارو مسکن قابل کنترل است . اگر شما پس از جراحی ایمپلنت دچار درد و التهاب هستید ، باید بدانید ممکن است درد پس از درمان تا حدود سه روز طول بکشد و پس از سه روز کم کم به روال عادی بر میگردد.
آیا بیماران درگیر با خودایمنی میتوانند ایمپلنت انجام دهند؟
بله ، هر گونه بیماری فیزیکی که تحت نظر پزشک باشد و کنترل شده باشد ، برای انجام ایمپلنت منعی ندارد. بیمارانی که دچار خود ایمنی هستند و از مشکلات سیستم ایمنی رنج میبرند میتوانند نواحی بی دندانی خود را با ایمپلنت درمان کنند ، این در صورتی است که اگر دچار روماتیسم، لوپوس، کم خونی، ام اس، سلیاک، شوگرن، و … هستید میبایست قبل از انجام ایمپلنت دندانی با پزشک خود مشورت کنید و سپس از روند درمان خود کاملا آگاه باشید و با کلیه مدارک و سوابق بیماری خود و عکس های رادیوگرافی به متخصص جراح دهان و فک و صورت مراجعه کنید تا پس از بررسی جراح، طرح درمان داده شود و نیازهای دارویی و مشاوره ای برای بررسی وضعیت سیستم ایمنی شما با متخصصین، تعیین گردد و سپس در صورت بلامانع بودن انجام جراحی، درمان شما امکان پذیر است
ایا ایمپلنت دندان برای بیماران مبتلا به ناراحتی قلب خطرناک است ؟
خیر. اگر بیماری قلبی شما تحت نظر و کنترل متخصص قلب و عروق باشد، مشکلات قلب و عروق برای انجام ایمپلنت دندانی منعی ایجاد نمیکند. متخصص جراح شما پس از بررسی های بالینی و دیدن رادیوگرافی، طرح درمان و روند درمان را مشخص میکند و سپس در صورت نیاز قبل از شروع درمان مشاوره با متخصص قلب و عروق را برای شما توصیه میکند و متخصص قلب نیز شرایط سلامت و مصرف دارو شما را برای انجام ایمپلنت کنترل میکند با کنترل شرایط قلب و عروق انجام ایمپلنت برای شما منعی ندارد.
آیا ایمپلنت برای بیماران دیابتی قابل انجام است؟
بیماران دیابتی که تحت نظر پزشک بوده و دیابت کنترل شده دارند، منعی برای انجام ایمپلنت ندارند.قند خون ناشتایی بیمار حائز اهمیت است و اگر در چکاپ های دوره ای بتواند آن را کنترل کند انجام ایمپلنت دندانی بلامانع است.
علت شل شدن ایمپلنت دندان چیست ؟
ایمپلنت دندان شامل دو جز بسیار مهم است یک پایه ایمپلنت و دوم روکش ایمپلنت. در این میان قطعات متصل شونده ای نیز به این دو مورد متصل و موجود هستند ولی عمده شل شدن ایمپلنت یا لق خوردن آن شامل به دلیل چسب روکش ایمپلنت است نه خود پایه ایمپلنت.
پایه ایمپلنت: پیچ تیتانیومی یا همان پایه ایمپلنت داخل استخوان فک بیمار پیوند شده و اگر درست کارگذاری شده باشد و شرایط بهداشت دهان بیمار ایده ال باشد ، استحکام بالایی دارد ، لذا لق خوردن یا شل شدن پایه ایمپلنت صرفا به دلیل مشکلات التهاب لثه یا تحلیل های استخوانی اتفاق میفتد . پس اگر لثه شما دچار تورم و التهاب در اطراف ایمپلنت است یا خونریزی های مداوم دارد ، احتمال اسیب به بافت اطراف ایمپلنت وجود دارد و احتمال شل شدن پایه ایمپلنت نیز در میان است.
چرا چسب روکش ایمپلنت موقت است؟
در اکثر مواقع، چسب روکش ایمپلنت موقت است. به این دلیل که جراح شما بتواند هر زمان متوجه علامت و التهابی در اطراف ایمپلنت شد، روکش را بهراحتی خارج کند و اقدامات لازم برای رفع مشکل بهوجودآمده را انجام دهد.
بنابراین هر زمان چسب روکش ایمپلنت دندان شما شل شد و روکشتان درآمد، جای نگرانی نیست. روکش خود را در جای مناسبی قرار دهید و در اولین فرصت، وقتی را از دندانپزشک خود برای چسباندن روکش بگیرید.