
ونیر کامپوزیت چیست؟
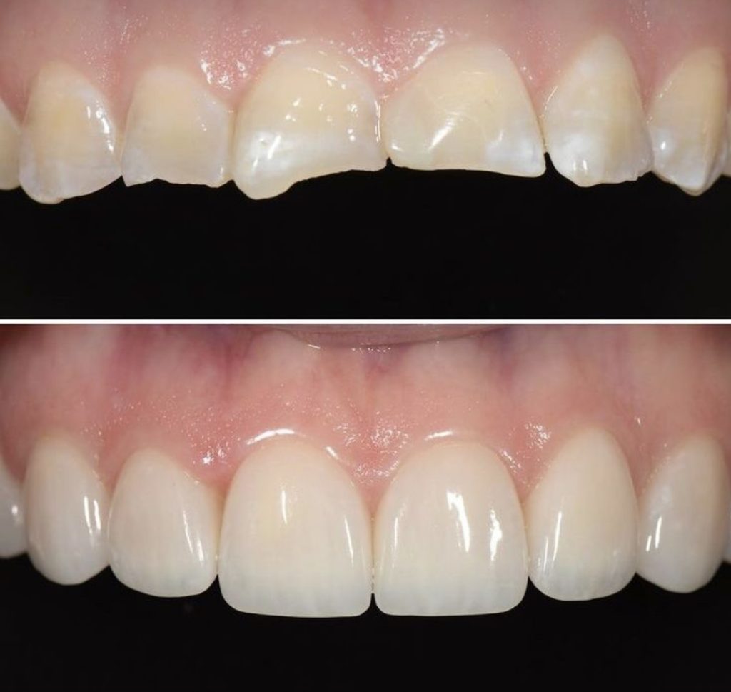
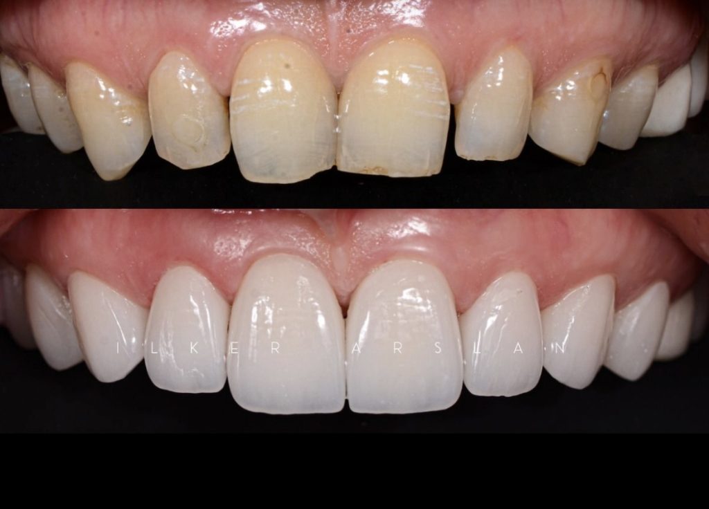
ونیر کامپوزیت لایه ای از جنس رزین، همرنگ دندان طبیعی و با استحکام بالا است که به منظور ترمیم موضعی، زیبایی ظاهری و تغییر رنگ دندان روی آن قرار می گیرد.
به عبارت دیگر ونیر کامپوزیت یک ماده خمیری است که دندانپزشک آن را روی دندان قرار داده و شکل می دهد و با استفاده از تابش اشعه یو وی آن را سخت و محکم می سازد.
ونیر کامپوزیت به صورت مستقیم و غیر مستقیم وجود دارد.
ونیر کامپوزیت مستقیم طی یک جلسه در کلینیک دندانپزشکی روی دندان قرار می گیرد. این روش مناسب افرادی است که تعداد کمی از دندان هایشان را ونیر می کنند. روش مستقیم وقت گیر است و به مهارت و تجربه دندانپزشک بستگی دارد.
ونیر کامپوزیت غیر مستقیم که زیبایی و استحکام بالاتری دارد و استفاده از آن رایج تر است، ابتدا قالب گیری شده و در جلسه بعد ونیر ساخته شده روی دندان چسبانده می شود.
مزایای ونیر کامپوزیت
• عدم نیاز به تراش مینا و عاج دندان به دلیل ضخامت کم ونیر کامپوزیت، در نتیجه سالم ماندن دندان
• قیمت مناسب نسبت به روش های درمانی و زیبایی مشابه
• عدم نیاز به قالب گیری
• قابل انجام در یک جلسه مراجعه به دندانپزشک
• امکان ترمیم و اصلاح در صورت شکستگی یا لب پریدگی
• کاربرد آسان
• قابل فرم دهی و تطبیق سایز روی دندان
• پوشش فاصله بین دندان ها

معایب و عوارض ونیر کامپوزیت
• نیاز به تعویض با لایه جدید پس از حدود ٥ الی ٦ سال
• هزينه کمتر نسبت به کامپوزیت سرامیکی
• نیاز به رعایت بهداشت بیشتر برای جلوگیری از بروز عفونت در لثه
• امکان شکستن دندان ونیر کامپوزیت شده
• امکان حساس شدن دندان نسبت به گرما و سرما
• امکان تغییر رنگ دندان در صورت مصرف زیاد نوشیدنی های رنگی و استعمال دخانیات
ونیر کامپوزیت چگونه انجام می شود؟
ونیر کامپوزیت به دو صورت مستقیم و غیر مستقیم انجام می شود. برخی از مراحل انجام این دو روش یکسان است.
1 – تمیز کردن دندان :
برای استفاده از ونیر کامپوزیت اولین کار تمیز کردن کامل سطح دندان است. در این مرحله هرگونه جرم و پلاک ایجاد شده در سطح دندان به خوبی پاک می شود. دندان تمیز شده باید خشک شود به نحوی که هیچگونه رطوبت و بزاقی روی آن باقی نماند. عموما دندانپزشکان برای اطمینان بیشتر قبل از انجام درمان های زیبایی جرمگیری دندان را تجویز می کنند.
2 – ایجاد تخلخل روی سطح دندان :
با استفاده از مواد اسیدی روی سطح دندان تخلخل لازم برای کارگذاشتن ونیر ایجاد می شود. به این ترتیب ونیر به خوبی به سطح دندان می چسبد.
3 – قالبگیری :
این مرحله تنها برای روش غیر مستقیم انجام می شود. از دندان قالب تهیه شده و برای ساخت ونیز کامپوزیت به لابراتوار فرستاده می شود.
4 – چسباندن ونیر کامپوزیت روی دندان:
الف) روش مستقیم :
بعد از ایجاد تخلخل روی دندان، مواد باندینگ مخصوص روی سطح دندان استفاده شده و مواد ونیر کامپوزیت به آرامی روی دندان قرار می گیرد. در این مرحله پروسه افزودن برداشتن و آماده کردن مواد ونیر کامپوزیت و صیقل دادن آن تکرار می شود. به این ترتیب ونیر روکش نهایی ایجاد می گردد.
ب) روش غیر مستقیم :
ونیر کامپوزیت بعد از ساخته شدن در لابراتوار روی دندان تست شده و رنگ و فرم آن بررسی می شود. چنانچه ونیر آماده شده از همه نظر مورد پسند فرد قرار گیرد به طور دائم روی دندان چسبانده می شود.
5 – پولیش و صیقل دادن سطح دندان :
بعد از فرم دهی لایه های قرار گرفته روی دندان سطح دندان پولیش و صیقلی می شود. ضخامت ونیر کامپوزیت بسیار اندک است و نیازی به تراش مینای دندان نیست. تنها در مواردی که اصلاح جزیی نامرتبى دندان یا کوچکتر کردن سایز دندان دراصلاح طرح لبخند مد نظر باشد تراش جزیی روی دندان انجام می شود.
ونیر کامپوزیت مستقیم در مطب و طی یک جلسه انجام شده و روی دندان قرار می گیرد. اما ونیر کامپوزیت غیر مستقیم برای اجرا حداقل دو جلسه لازم دارد. ساختن ونیر غیر مستقیم بعد از قالبگیری حدود 2 هفته زمان می برد.

قیمت ونیر کامپوزیت
کامپوزیت دندان یکی از روش های مناسب و کم هزینه اصلاح طرح لبخند می باشد و هزینه آن نسبت به لمینت دندان کمتر است.
هزینه کامپوزیت ونیر تحت تاثیر عوامل زیر تعیین می شود:
1- نوع کامپوزیت ونیر، برند و کشور سازنده: کشورهای مختلفی سازنده مواد ونیر کامپوزیت هستند. لازم به ذکر است کیفیت و طول عمر برندهای آمریکایی، ژاپنی، آلمانی و سوئیسی از کشورهای دیگر بهتر می باشد. لذا قیمتشان به نسبت بالاتر است.
2- رنگ و سایه کامپوزیت: کامپوزیت ها رنگ ها و سایه های متفاوتی دارند که بسته به رنگ پوست شما و موارد دیگر انتخاب می شود. تفاوت در رنگ نیز در قیمت نهایی موثر است.
3- نیاز به ترمیم پوسیدگی دندان قبل از کامپوزیت: پیش از انجام کامپوزیت، دندانپزشک دندان ها را از نظر پوسیدگی و کج بودن بررسی می کند. در صورتی وجود پوسیدگی دندان ها لازم است ابتدا دندان پر و ترمیم شود.
همچنین در صورتی که میزان کجی دندان بیش از حد باشد باید قبل از اجرای کامپوزیت، ارتودنسی انجام شود.
بنابراین درمان ارتودنسی برای دندان های سالم و بدون پوسیدگی که کجی نیز ندارند کم هزینه تر خواهد بود.
4- تخصص دندانپزشک: تخصص و مهارت دندانپزشک در هزینه نهایی کامپوزیت تاثیرگذار است. در صورتی که کامپوزیت توسط متخصص دندانپزشکی انجام شود نتیجه نهایی، ظاهر و کیفیت بهتری خواهد داشت.