
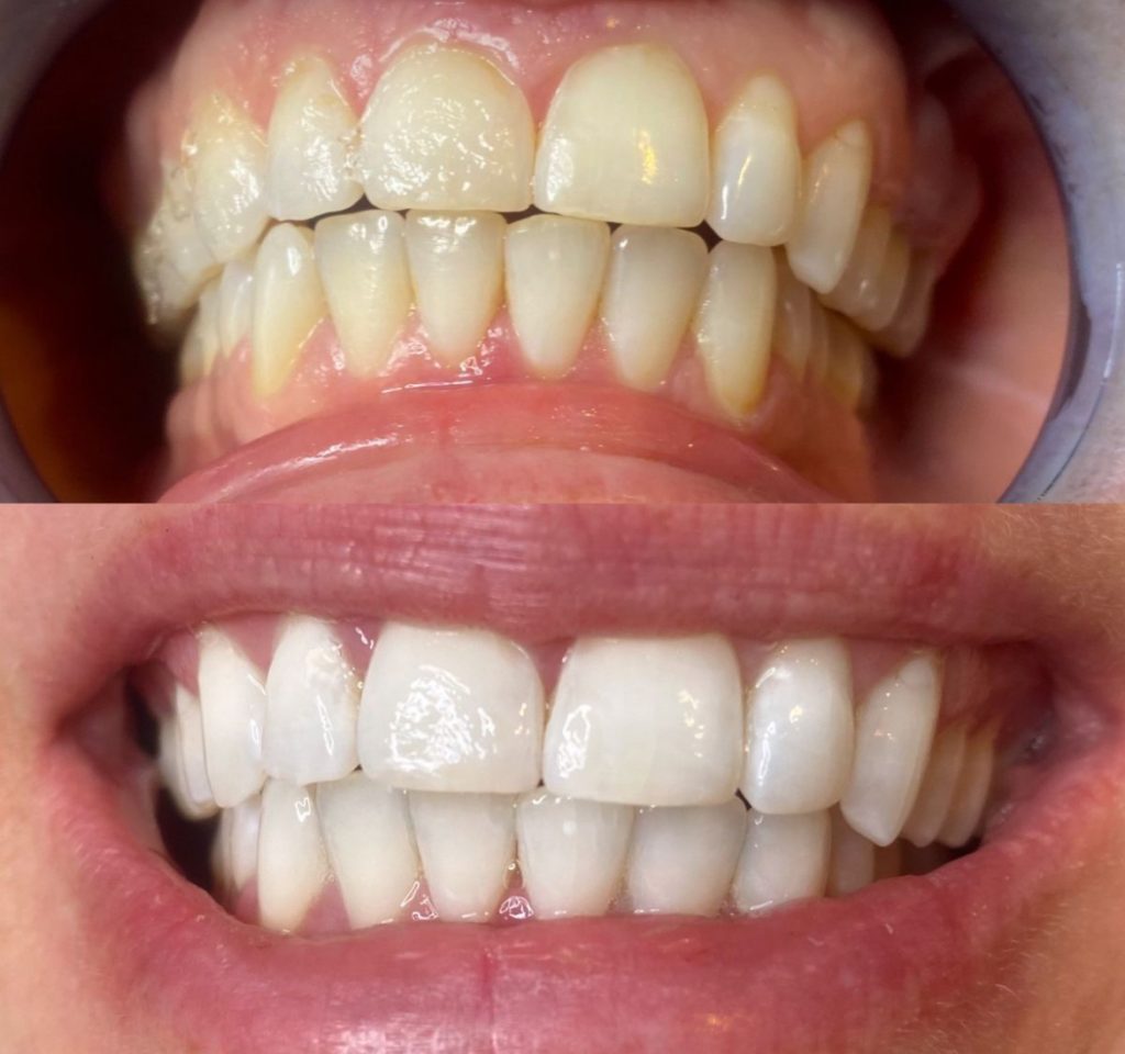
بلیچینگ دندان چیست؟
بلیچینگ دندان یکی از روشهای محبوب سفیدکردن دندان است. دندان یکی از عوامل مؤثر در زیبایی صورت است و تأثیر زیادی روی برداشت اول انسانها از شما دارد. عوامل مختلفی زیبایی و سفیدی دندان را به خطر میاندازند مانند: نوشیدن قهوه، سیگار کشیدن و افزایش سن. اگر سفیدی طبیعی دندان خود را از دست دادهاید، ناراحت نباشید! شما هنوز هم میتوانید تا حد زیادی سفیدی دندانهایتان را احیا کنید. با توسعهی بیشتر دندانپزشکی زیبایی و افزایش تقاضا، بلیچینگ هم به یکی از خدمات دندانپزشکی محبوب تبدیل شد که میتواند دندانهایی سفید و چشمگیر به شما هدیه کند.
بلیچینگ دندان چیست؟
بسیاری از افراد بلیچینگ را با سفید کردن دندان اشتباه میگیرند. بهتر است بدانید که سفیدکردن دندان راههای متفاوتی دارد و بلیچینگ فقط یکی از این روشهاست. گاهی اوقات به دلیل استفاده از رژیم غذایی نامناسب یا سیگار کشیدن رنگدانههای تیره وارد ساختار مینای دندان میشود و باعث میشوند دندان سفیدی خود را از دست بدهد و تیره شود. این مواد غذایی عبارتاند از قهوه، نوشابه، انواع سس و غیره. بلیچینگ با استفاده از مکانیزمی که دارد باعث خارجکردن رنگدانهها از ساختار مینای دندان میشود و باعث سفیدشدن دندان میشود.
نواع روشهای انجام بلیچینگ دندان
برای انجام بلیچینگ لثهها و دندانهای شما باید سالم و بدون بیماری و زخم باشند تا نسبت به مواد شیمیایی مورد استفاده در بلیچینگ واکنش منفی نشان ندهند. قبل از اقدام به انجام بلیچینگ، دندانپزشک وضعیت دهان و دندان شما را بررسی میکند تا مطمئن شود شما کاندیدای مناسبی برای انجام این عمل هستید یا خیر. بهطورکلی دو روش برای بلیچینگ وجود دارد که عبارتاند از:
• بلیچینگ در کلینیک دندانپزشکی یا Office Bleaching
• بلیچینگ دندان در خانه یا Home Bleaching

۱. بلیچینگ در کلینیک دندانپزشکی یا Office Bleaching
این نوع بلیچینگ در مطب توسط دندانپزشک انجام میشود و نسبت به روش بلیچینگ خانگی سریعتر و مؤثرتر است یعنی دندانها زودتر سفید میشوند، اما از نظر ماندگاری نسبت به روش خانگی ضعیفتر است. آفیس بلیچینگ ایمنترین روش بلیچینگ است، زیرا توسط دندانپزشک در کوتاهترین زمان انجام میشود.
مراحل آفیس بلیچینگ
• قبل از انجام بلیچینگ احتمالا باید دندان شما جرمگیری شود اما اگر دندانهایتان جرم ندارد این مرحله حذف خواهد شد.
• برای شروع بلیچینگ، دندانپزشک برای دسترسی به تمام سطوح دندانها از یک وسیله دندانپزشکی برای بازکردن دهان استفاده میکند.
• مرحله بعد تأمین امنیت و حفاظت لثه است. برای این کار دندانپزشک روی لثه را با ژل محافظ لثه میپوشاند و با استفاده از نور آبی آن را در طول انجام بلیچینگ روی لثه ثابت نگه میدارد تا مواد سفیدکننده دندان به لثه آسیب نرساند و باعث حساسیت آن نشود.
• سپس دندان را به یک محلول اسیدی آغشته میکند و یک مادهی اکسیدکننده (پراکسیدهیدروژن) را با غلظت بسیار بالایی به مدت ۱۵ الی ۳۰ دقیقه روی دندان اعمال میکند.
• در طول مدتی که سفیدکننده روی دندانها قرار دارد، دندانپزشک دندان را در معرض نور یا لیزر قرار میدهد. این نور یا لیزر باعث فعالشدن مواد شیمیایی و تأثیرات بیشتر مواد سفیدکننده میشود. بخاطر همین به این روش برخی افراد سفید کردن دندان با لیزر یا بلیچینگ دندان با لیزر هم میگویند.
• ممکن است نیاز باشد مرحله قبل چند بار تکرار شود تا به بهترین نتیجه برسید. دندانپزشک هم هر بار میزان سفیدی را چک میکند تا از تأثیر آن مطمئن شود.
• احتمالا برای اثربخشی بیشتر و تداوم بلیچینگ، پزشک توصیه کند که چند جلسه بلیچینگ خانگی هم انجام دهید.
۲. بلیچینگ دندان در خانه یا Home Bleaching
بلیچینگ دندان به روش Home Bleaching نسبت به بلیچینگ در مطب طولانیتر است ولی ماندگاری بیشتری نسبت به بلیچینگ در مطب دارد و هزینه آن هم کمتر میباشد. البته شایان ذکر است بلیچینگ خانگی به این معنا نیست که خودتان بهصورت مستقل میتوانید هر زمان دلتان خواست دندانهایتان را بلیچینگ کنید!
شما باید تحت نظر پزشک این کار را انجام دهید به این صورت که: شما یکبار به دندانپزشکی مراجعه میکنید. پزشک قالب دندان شما را میگیرد و یک قالب پلاستیکی شفاف به نام «تِرِی» برای شما ساخته شود. این قالب متناسب با دندانهای شما و با در نظر گرفتن فضایی خالی برای پرشدن توسط مواد سفیدکننده ساخته شدهاست. دندانپزشک این قالب را همراه با ژل سفیدکننده و دستورالعمل اجرا و مصرف آن به شما میدهد. شما باید طبق دستور پزشک بین ۳ هفته الی یک ماه از آنها استفاده کنید تا به نتیجه دلخواه خود برسید. توجه کنید که برای اثر بخشی بیشتر نباید بیش از دفعات توصیهشده از بلیچینگ خانگی استفاده کنید؛ زیرا ممکن است مواد شیمیایی موجود در آن، باعث حساسیت بیشازحد لثه شود و به آن آسیب برساند.

مراحل هوم بلیچینگ
بعد از اینکه قالب را از دندانپزشک خود دریافت کردید میتوانید مراحل زیر را انجام دهید:
• اگر دندانهایتان جرم دارد قبل از بلیچینگ باید آن را در مطب جرمگیری کنید چون جرم و پلاک دندانی مانع از ورود مواد سفیدکننده به ساختار مینای دندان میشود.
• قبل از شروع بلیچینگ باید مسواک بزنید و از نخ دندان استفاده کنید تا سطح دندان کاملا تمیز باشد و ماده سفیدکننده بتواند وارد ساختار دندان شود.
• ماده سفیدکننده دندان را درون تِرِی (قالب دندان) بریزید. در هر فضای دندان باید یک قطره از ماده سفیدکننده را بریزید.
• تری را روی دندانهای خود قرار دهید.
• مواظب باشید که مواد درون محفظه به بیرون نشت نکند و با لثه تماس نداشته باشد. این ماده به شدت برای لثه مضر است و باعث حساسیت آن میشود. اگر از محفظه بیرون آمد با دستمال آن را سریع پاک کنید.
• شما باید قالب را حداقل به مدت ۲ ساعت روی دندان قرار دهید و بعد از برداشتن آن، با مسواک محلول را از روی دندان بشویید.
• دقت کنید که هر دو ساعتی که برای انجام بلیچینگ صرف میکنید فقط مخصوص یک فک است.
• طول دوره درمان در هوم بلیچینگ حدود دو هفته است و شما باید هر شب ۲ الی ۶ ساعت قالب را روی دندان قرار دهید.
• اگر فرد دندانهای حساسی نداشته باشد و مشکلی ایجاد نشود میتوان دو بار در طول شبانه روز از هوم بلیچینگ استفاده کرد تا در زمان کوتاهتری نتایج حاصل شود.
• در صورت احساس حساسیت دندان، بهتر است دو روز روند بلیچینگ را متوقف کنید تا دندانها استراحت کنند.
• بعد از استفاده از قالب، آن را با مسواک و آب شسته و در یک پلاستیک فریزر قرار داده و همراه با ژل در یخچال قرار دهید.